Introducing the TPLO-M „terraced” plate family from Smartvetimplants.com
In small dogs, medial patella luxation (MPL) and the rupture of anterior cruciate ligament (RACL) often occur simultaneously. During the surgical procedure, the joint must be stabilized and the patella fixed in the middle axis at the same time.
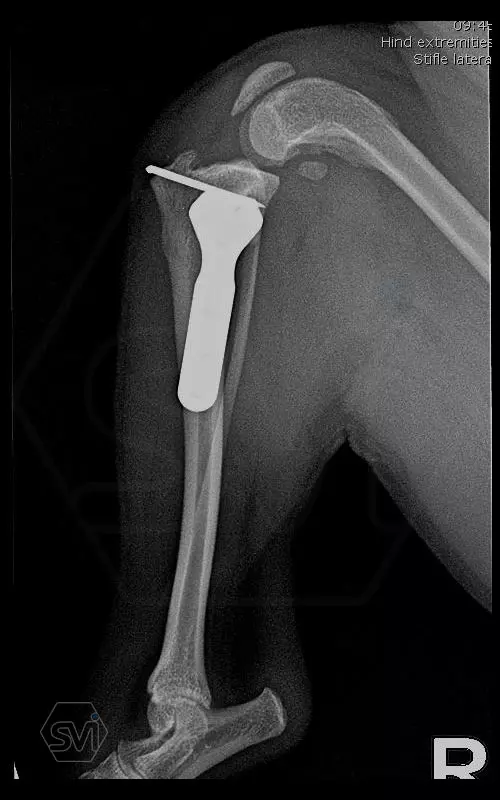
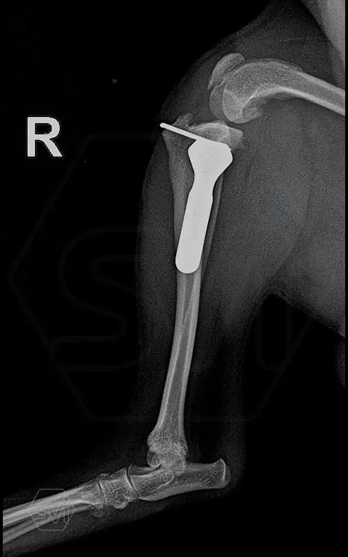
The solution of Smatvetimplants is the TPLO-M plate family with terrace:
Mini TPLO-M plate:
non-locking, symmetrical, with 2.2 mm terrace (degree of shift), for standard 2.0 mm AO cortical screws (1.5 and 2.4 mm screws can also be inserted), material steel. Optimized for R12 blades.
Small TPLO-M plate:
part of a polyaxial locking system, symmetrical, available with 2.5 and 4.0mm terraces, torx-head, 2.4mm locking screws (2.0 and 2.4mm AO screws can also be inserted), material steel. Optimized for R12 and R15 blades.
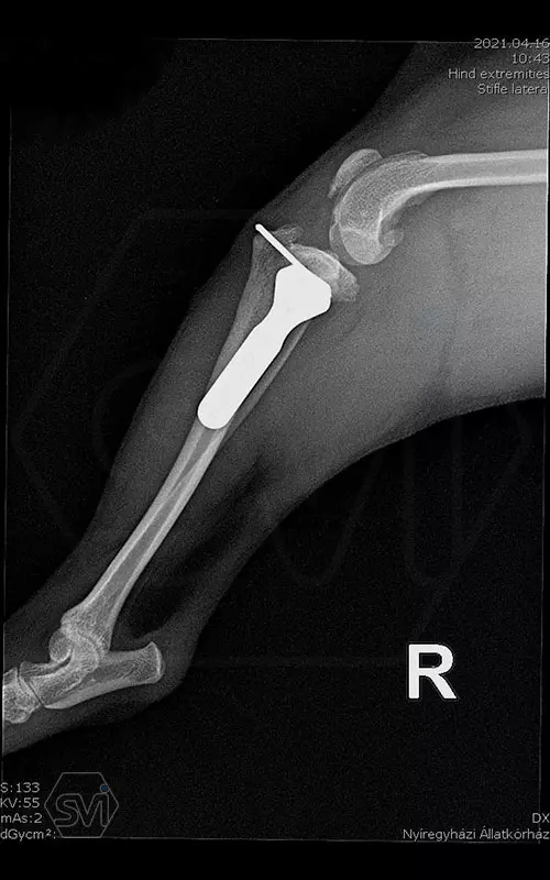
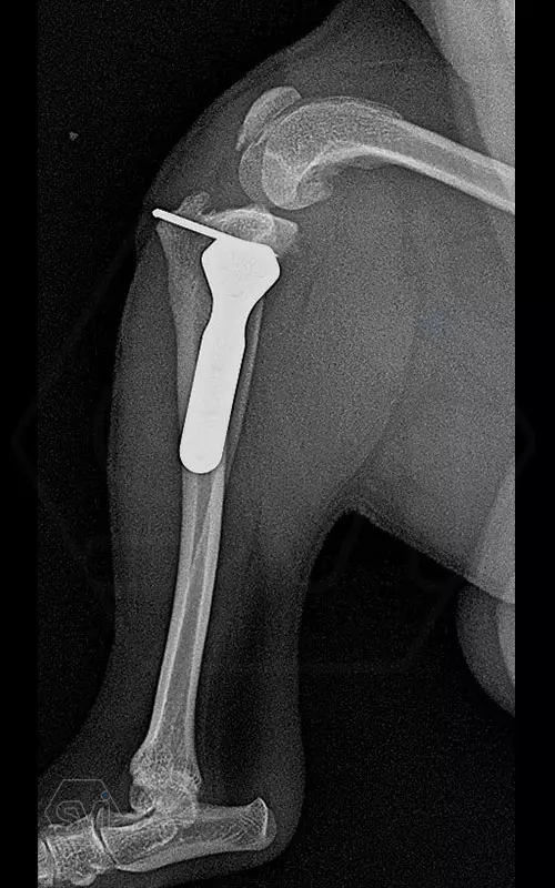
Between October 2020 and December 2021, we performed 19 TPLO-M surgeries at the Animal Hospital in Nyíregyháza,: 16 times used the mini (2.0 R12) and 3 times the small (2,4 R15) TPLO-M plate.
The experience is very encouraging, we find the system and plates suitable for the simultaneous treatment of MPL and RACL. ( in case of 4/4 pat. lux. also). We will back soon with details.
System available in our webshop: https://shop.smartvetimplants.com/TPLO-M
Bemutatkozik az un. teraszos TPLO-M lemezcsalád, a Smartvetimplants.com kínálatában
Kistestű kutyákon gyakran egyidejűleg előfordul elő a mediális patella-ficam (MPL) és az elülső kereszteződő szalag szakadása (EKSZ). A műtéti ellátás során egyidejűleg kell az ízületet stabilizálni, illetve a patellát középsíkban fixálni.
A Smatvetimplants megoldása az ún. teraszos TPLO-M lemezcsalád:
Mini TPLO-M lemez:
Nem szögstabil, szimmetrikus, 2,2mm-es terasszal (eltolás mértéke), hagyományos 2.0mm-es AO corticalis csavarokhoz (1,5 és 2,4 mm-es csavarok is behelyezhetőek), anyaga acél. R12-es pengéhez optimalizálva.
Kis TPLO-M lemez:
Poliaxiális szögstabil rendszer része, szimmetrikus, 2,5 és 4.0mm-es teraszokkal rendelhető, torx fejű mentes 2,4mm-es menetes csavarokhoz (2,0 és 2,4mm-es AO csavarok is behelyezhetőek), anyaga acél. R12 és R15 pengékhez optimalizálva.
A Nyíregyházi Állatkórházban 2020 október és 2021 december között 19 esetben végeztünk el TPLO-M műtétet, ebből 16 alkalommal a mini (2.0, R12), 3 alkalommal a kis (2,4, R15)TPLO-M lemez használtuk.
A tapasztalatok nagyon bíztatóak, alkalmasnak találjuk a rendszert és a lemezeket az MPL és EKSZ egyidejű kezelésére a 4/4 pat. lux. esetében is. Részletekkel hamarosan jelentkezünk.
A lemezek megrendelhetőek webshopunkban: https://shop.smartvetimplants.com/TPLO-M
















