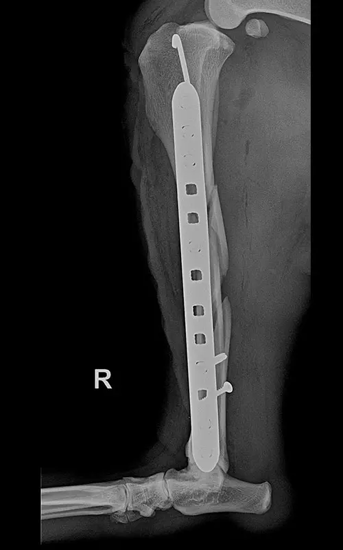
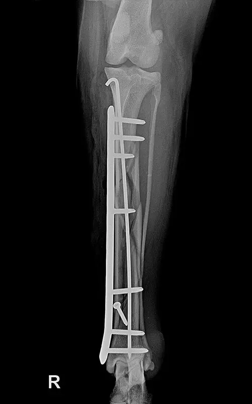
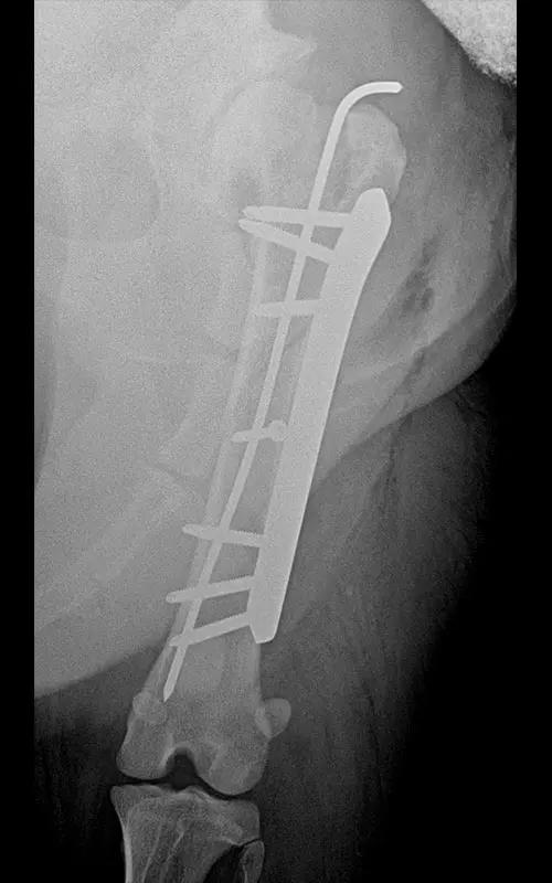
Combination of polyaxial locking plating and medullary pinning to treat multiple unstable fractures
It is a common case where long tubular bones suffer multiple fractures and there is no bone lying on top of each other after repositioning that would aid in stability after fixation. The K-wire-and-plate combination already known during DCP plating can also be used for locking plating:
- Stability against bending forces is enhanced by a combination of the two techniques
- Among locking systems, only the polyaxial system is fully suitable for this task, because during the insertion of srews the medullary nail can be bypassed (cf. in monoaxial systems, if the nail is under the plate hole, no screw can be inserted in that hole).
- During the operation of multiple fractures, the repositioning and positioning of the fracture ends is aided by a nail inserted into the medullary space, which is not removed after the plating.
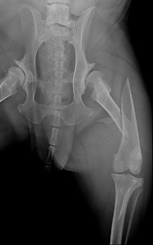
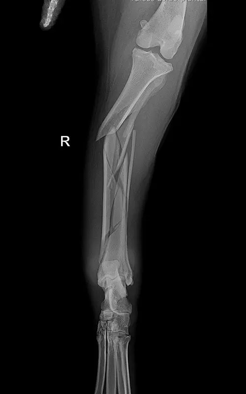
In our case, a 10-year-old labrador is involved in a car accident and his left femur and right tibia are severely injured. The dog had difficulty moving anyway due to severe hip arthrosis. During one surgical narcosis, K-pin - polyaxial locking plating was applied to both bones, the larger fragments were also fixed with 1-1 lag screws.
I intend the case to be initiated by anyone who has comments or remarks about the technique or the surgical procedure, I welcome it in a comment. I made a lot of mistakes…











