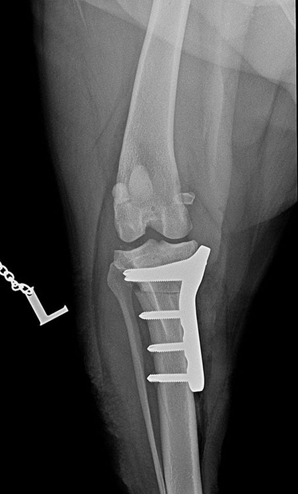
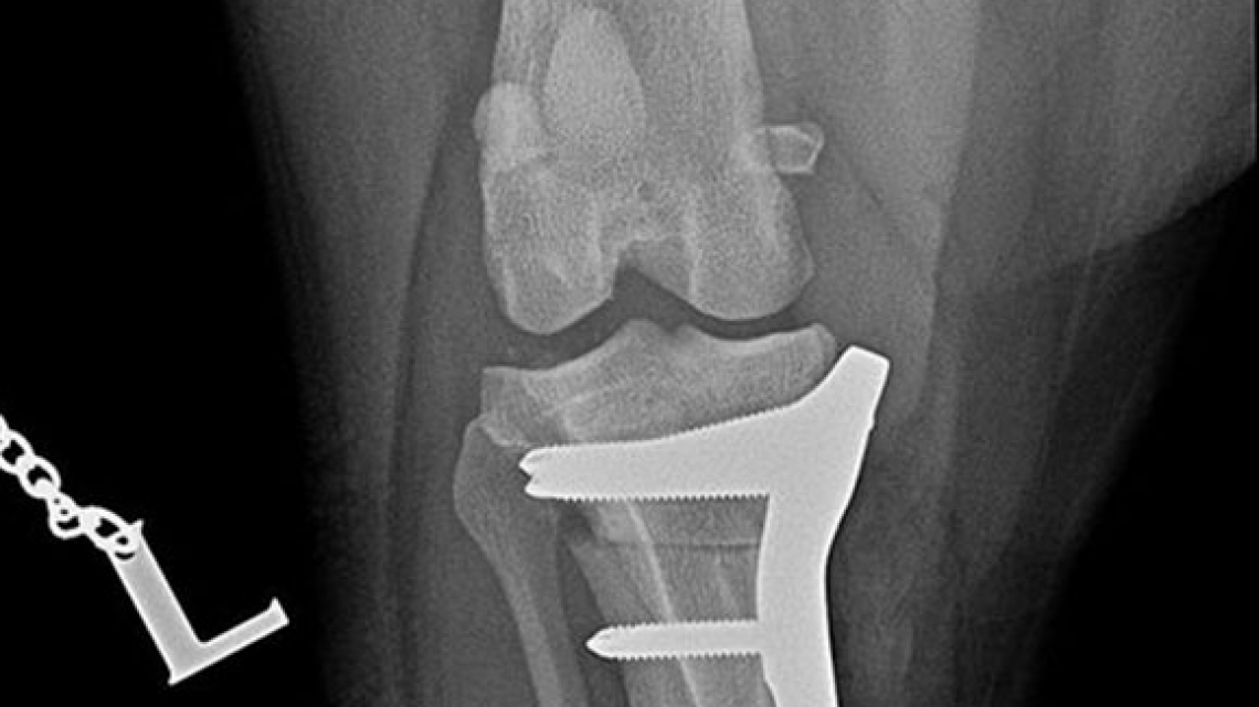
Shar-pei, cruciate ligament rupture surgery
Shar-pei, cruciate ligament rupture surgery, TPLO with small pre-contoured polyaxial plate.
Sawed with R21 blade. Temporary fixation with 1,4 mm K-wire through the plate’s micro hole, which helps untill the locking poliax screws are driven in.
Would you like
to buy?
Do you have a question?
Hits: 844







