If it is spinal trauma, then SOP-LC (Sliding On Pivot Locking Claps)
Unfortunately, Frank Borostyánkői, ACVS only saw the online version of the SOP-LC article on which we worked a lot together, before he passed away.
The article was published in the July 2024 issue of VCOT (see image), in which the demonstration of the high stability of the implant ex vivo, under experimental conditions, was presented. The article is written by Frank's close colleague, Angel Miller, DVM.
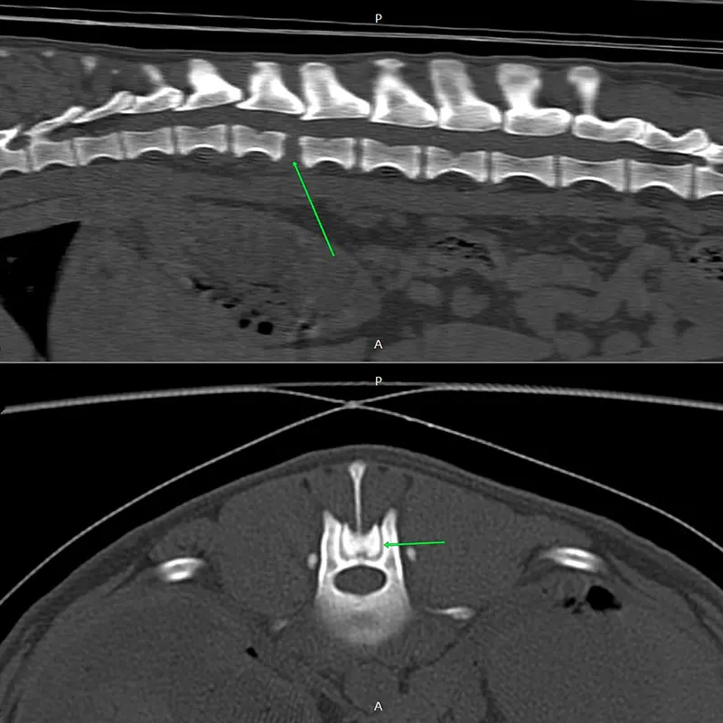
We have been using the system for years, and clinical experience greatly supports its reliability, even in difficult, challenging situations. It is excellent for stabilizing the spine, especially in the thoraco-lumbar region. If the connecting rod is placed ventrally from the articular processes, the screws are placed in the vertebral body at a 45-degree angle at the base of the transverse processes, so that they grip the largest possible bone material. (see CT images). Up to 2 clamps can be attached to a vertebral body from one side. Compared to other, more complex, multi-piece spinal stabilization systems, it is thinner and fits better on the surface of the bone. The screw axis is located ont he side of the axis of the connecting rod (the rod and the screw are not located on top of each other), the clamps can be rotated and slid, so that the largest possible bone stock can be freely accessed during surgery.
In our case, we stabilized the T13-L1 vertebral luxation of a 4-year-old dachshund, where the ligament system of the vertebral body was damaged during a car accident.
More information:
https://smartvetimplants.com/sliding-on-pivot-locking-clamp-system.html
Soon available in titanium!
Look around our webshop
More information:
Ha gerinc trauma, akkor SOP-LC (Sliding On Pivot Locking Claps)
Sajnos Borostyánkői Feri csak az online verzió megjelenését láthatta annak az SOP-LC cikknek, amin nagyon sokat dolgoztunk közösen. VCOT 2024 júliusi számában jelent meg (lásd kép) a cikk, amelyben bemutatásra került az implantátum nagyfokú stabilitásának bizonyítása ex vivo, kísérleti körülmények között. A cikket Feri közeli munkatársa, Angel Miller jegyzi.
Mi már évek óta használjuk a rendszert, és a klinikai tapasztalatok nagyban alátámasztják megbízhatóságát, nehéz, kihívásokkal teli helyzetekben is. A gerinc stabilizálására kiválóan alkalmas, főleg thoraco-lumbalis szakaszon. Amennyiben az összekötő rudat a proc. articularisoktól ventralisan helyezzük, akkor a csavarok úgy helyeződnek a csigolya testben a proc. transversusok tövében 45 fokban vezetve, hogy a lehető legnagyobb csontanyagot fogják. (lásd CT képek). Egy csigolyatestbe egy oldalról akár 2 bilincs is rögzíthető. Egyéb, bonyolultabb, több darabból álló gerincstabilizálási rendszerekhez képest mégis vékonyabb, jobban felfekszik a csont felszínére. Az összekötő rúd tengelyéből kikerül a csavar tengelye (a rúd és a csavar nem egymáson helyezkedik el), a bilincsek körbe forgathatók, és elcsúsztathatóak, így műtét közben a lehető legnagyobb csontállomány szabadon megkereshető.
Esetünkben egy 4 éves szálkásszűrő tacskó T13-L1 csigolya luxációját stabilizáltunk, ahol a csigolyatest szalagrendszere sérült autóbaleset során.
További információ:
https://smartvetimplants.com/sliding-on-pivot-locking-clamp-system.html
Hamarosan titán kivitelben is!















