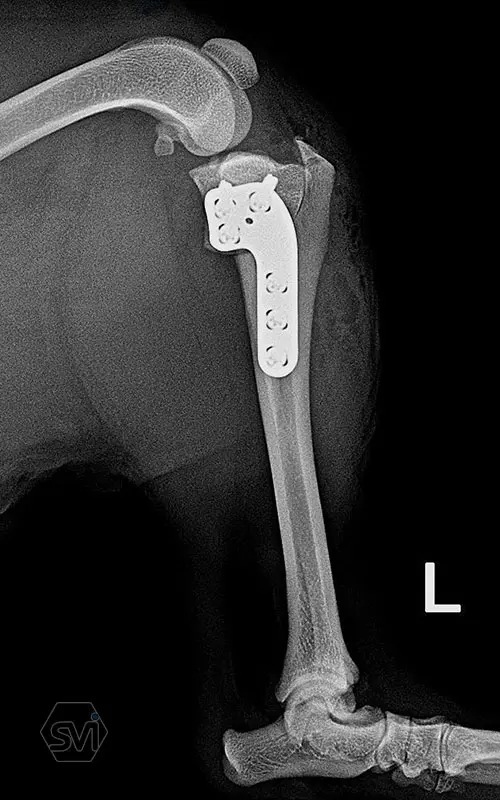
The precontoured polyaxial locking TPLO family has become complete in the smartvetimplants.com offer
Introducing the precontured polyaxial locking TPLO family, now available in all sizes:
- Mini: 2.0mm (thinner and thicker version)
- Midi: 2.4mm
- Small: 2.7mm
- Standard: 3.5mm (both in short and extended versions)
- Giant: designed for 4.0mm screws.
It has a number of advantageous features that make it stand out from standard TPLO solutions:
- well designed that follows the anatomical position and ideal hole placement
- precontoured, its use shortens the surgical time, no greater physical force is required for bending
- locking system for greater stability
- polyaxial screw insertion, the direction of screw insertion can be freely selected in a 30-degree circle while maintaining angular stability! (this is very useful to avoid driving the screw into the joint, and the temporary fixing can also be avoided with a K-wire)
- outstanding quality product, made in EU, in Hungary, and holds its own on both the European and American markets.
- good price/value ratio, it is sold at a competitive price in the Central and Eastern European market.
To learn how to use polyaxial locking plates, individual further training is available at the Veterinary Hospital Nyíregyháza, more information: This email address is being protected from spambots. You need JavaScript enabled to view it., +36209739139
If you want to get more information on a similar topic, write us an e-mail and you can join the private smatvetimplants Facebook group, or you can request to subscribe to the newsletters sent by e-mail.
Look around our webshop
More information:
Teljessé vált az előhajlított poliaxiális szögstabil TPLO család a smartvetimplants.com kínálatában.
Bemutatkozik az előhajlított poliaxiális szögstabil TPLO család, most már minden mérteben elérhető:
- Mini: 2.0mm (vékonyabb és vastagabb kivitel)
- Midi: 2.4mm
- Kicsi: 2.7mm
- Normál: 3.5mm (rövid és hosszított változatban is)
- Óriás: 4.0mm csavarokhoz tervezve.
Számos előnyös tulajdonsággal rendelkezik, amely kiemeli a szokványos TPLO megoldások közül:
- letisztult forma, amely az anatómia helyzetet követi, és ideális furatelhelyezés
- előhajlított, használata lerövidíti a műtéti időt, nincs szükség nagyobb fizikai erőre a hajlításhoz
- szögstabil rendszer a nagyobb stabilitásért
- poliaxiális csavarbehelyezés, a csavar behelyezésének iránya 30 fokos körben szabadon válaszható a szögstabilitás megőrzése mellett! (ez nagyon hasznos, hogy elkerüljük a csavar ízületbe való vezetését, és az időlegesen rögzítő is K-szegkikerülhető)
- kiemelkedő minőségű termék, Magyarországon készül, és megállja a helyét az európai és az amerikai piacon is.
- jó ár/érték arány, a közép- és kelet-európai piacon is versenyképes áron kerül forgalomba.
A poliaxiális szögstabil lemezek használatának elsajátítására egyéni továbbképzésre van lehetőség a Nyíregyházi Állatkórházban, további információ: This email address is being protected from spambots. You need JavaScript enabled to view it., +36209739139
Ha szeretnél további, hasonló témájú információhoz jutni akkor írj nekünk e-mail-t, és csatlakozhatsz a zártkörű smatvetimplants Facebook csoporthoz, vagy kérheted az e-mail-ben küldött hírlevelekre való feliratkozást.











