Blog

Latest news and cases

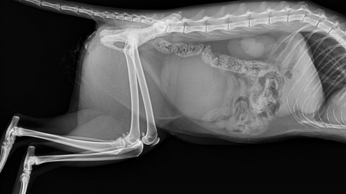
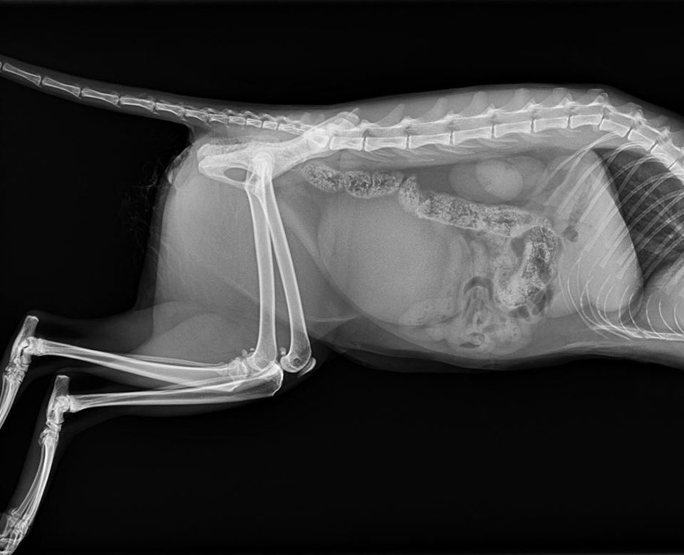
Mini SOP-LC

Mini SOP-LC

Mini SOP-LC (for 2,0mm srews) were used for stabilisation of vertebral luxation and fracture in cat.

Would you like
to buy?

Do you have a question?

Our latest smart offers

Smart Implants Smart Solutions
office@smartvetimplants.com
Call Us
Dr. Pelle György +36-20-973-9139
Szabó Béla +36-30-250-8067

Main menu

Our communities