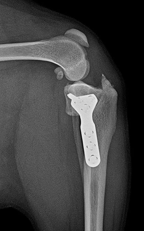
TPLO-M 2.4 with Smartvet polyaxial symmetrical TPLO plate (R15)
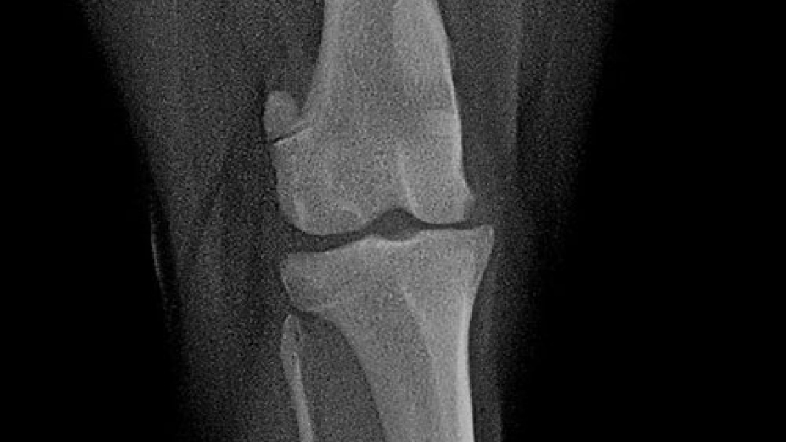
We also often encounter the co-application of MPL and CrCLR in mini dogs. In order to solve both problems within one operation, we used the modified TPLO technique published in 2019 (VCOT Vol.32 / 1). Members 2.0 and 2.4 of the symmetric “scream” TPLO plate family were modified to stabilize not only tibia plateau rotation but also tuberositas tibiae displacement. The completed prototypes are tested, the results are very encouraging. The additional techniques needed to solve MPL were used also (as needed: deepening of the patella groove, lateral tightening of the joint capsule, medial loosening).
2.0 buttress symmetrical TPLO plate:
not locking, can be used with 2.0 and 1.5 mm screws, the terrace (shift) is 2.3mm (for 2.5-6 kg dogs). There are no weak points here, the previously used plates may have broken in the neck due to bending and bending plate.
2.4 polyaxial butress symmetrical TPLO plate:
can be used with locking, polyaxial 2.4 torx head screws, the shift is 2.5mm. (for 5-12 kg dogs). In both cases, the insertion direction of the screws can be changed (polyaxiality !!!) to avoid the scew insertion into the joint.
Cost-effective system:
Symmetrical design does not require right-to-left plates in stock, is made of steel (not titanium).
The insertion errors shown in the images were due to our routine.
Already available:
- This email address is being protected from spambots. You need JavaScript enabled to view it.,
- +36209739139 or
- +36302508067 (Béla Szabó)
Update
The modification of TPLO is intended for the simultaneous correction of MPL and RACL. The new plate provides a high degree of stability and the polyaxiality gives the surgeon a high degree of freedom in choosing the direction of the screw insertion.
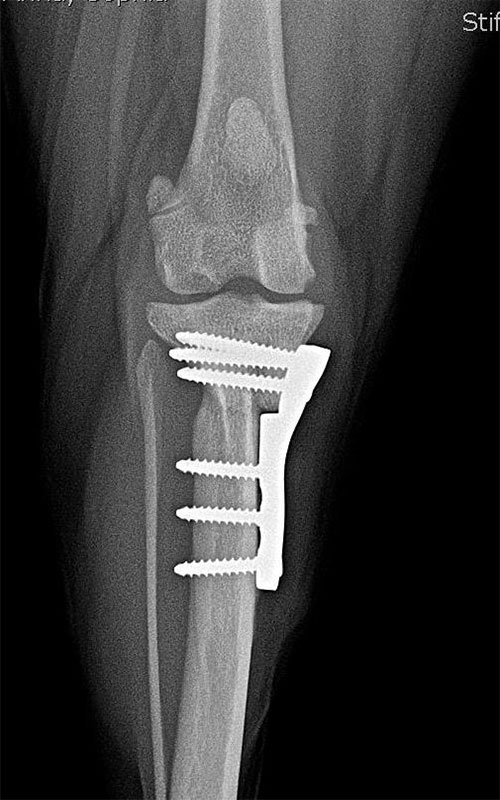
The picture shows a 2-month follow-up of the case in our previous post, with limp-free limb use and adequate bone healing.








