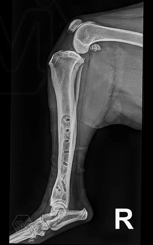
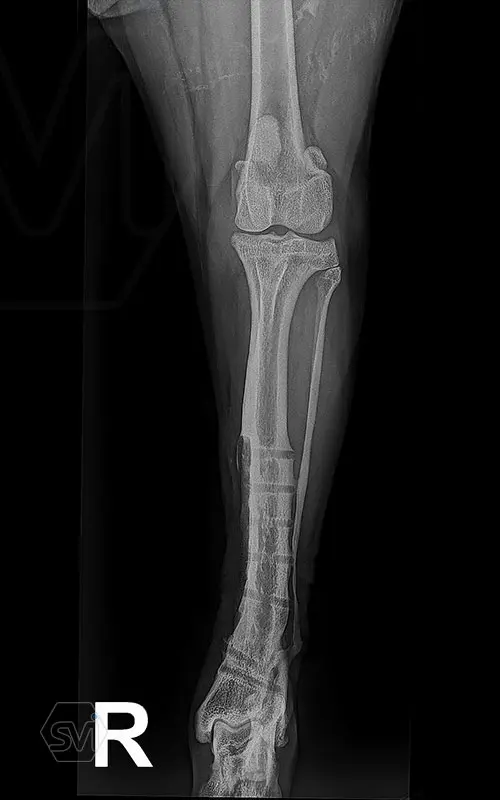
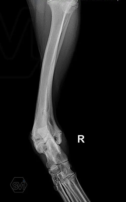
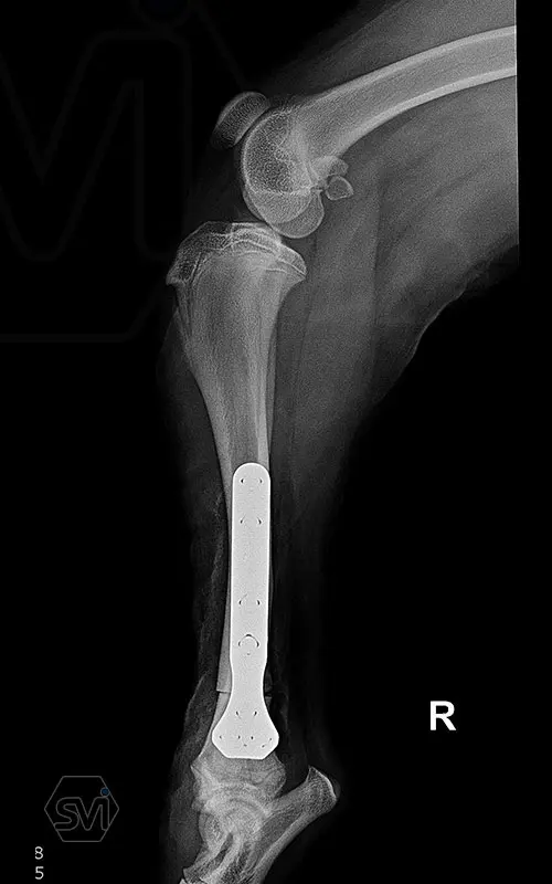
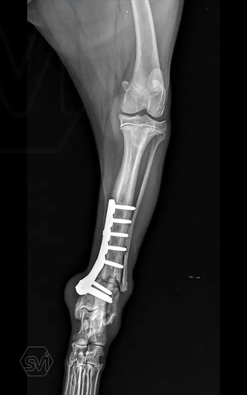
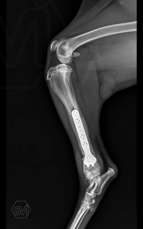
Multifunctional symmetrical long polyaxial locking plate - designed for the treatment of fractures close to joints
A special member of the polyaxial locking plate family is the multifunctional long plate, which is an extended version of the well-known symmetrical TPLO plate, with a 5-3 hole distribution. The plate also received a DCP hole to be able to create compression, and there is a mini-hole on the head end to facilitate the placement of the temporarily used K-nail. The burrs on the side facing the bone surface are intended to reduce the contact surface between the plate and the bone (limited contact).
The plate is a member of the large polyaxial locking family, suitable for 2.7-3.5-4.0 mm screws. We recommend it for fixaton of fractures close to joints, wedge osteotomies with axis correction (closing and opening), or for CWTO operations.
The plate is a member of the large polyaxial locking family, suitable for 2.7-3.5-4.0 mm screws. We recommend it for fixaton of fractures close to joints, wedge osteotomies with axis correction (closing and opening), or for CWTO operations.
Look around our webshop
More information:
Béla Szabó +36302508067, This email address is being protected from spambots. You need JavaScript enabled to view it.
Multifunkciós szimmetrikus hosszú poliaxiális szögstabil lemez – az ízületközeli törések kezelésére tervezve
A poliaxiális szögstabil lemezcsalád egy különleges tagja a multifunkciós hosszú lemez, amely a már ismert szimmetrikus TPLO lemez hosszított változata, 5-3-as furatelosztásban. A lemez kapott egy DCP furatot is, hogy kompresszió kialakítására is képes legyen, illetve itt is megtalálható a feji végen a felhelyezést megkönnyítő mini furat az időlegesen használt K-szeg befogadására. A csontfelszín felé eső oldalon a bemarások a lemez és a csont érintkezési felületét hivatott csökkenteni (limited contact).
A lemez a nagy poliaxiális szögstabil család tagja, 2,7-3,5-4,0 mm-es csavarok befogadására alkalmas. Ízületközeli törések, tengelykorrekciós ék-oszteotómiák (záródó és nyitódó), valamit CWTO műtétekhez ajánljuk.
A lemez a nagy poliaxiális szögstabil család tagja, 2,7-3,5-4,0 mm-es csavarok befogadására alkalmas. Ízületközeli törések, tengelykorrekciós ék-oszteotómiák (záródó és nyitódó), valamit CWTO műtétekhez ajánljuk.
További információ:
Szabó Béla +36302508067, This email address is being protected from spambots. You need JavaScript enabled to view it.
Would you like
to buy?
Do you have a question?
Hits: 704




















