TPLO-M in size 2.7
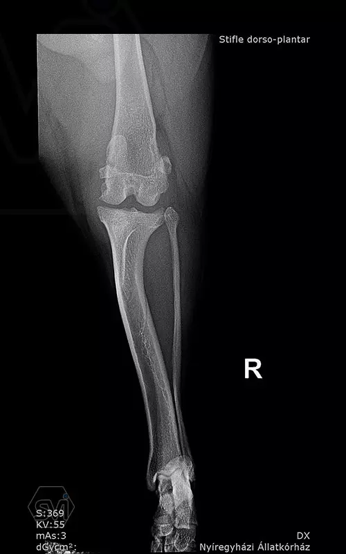
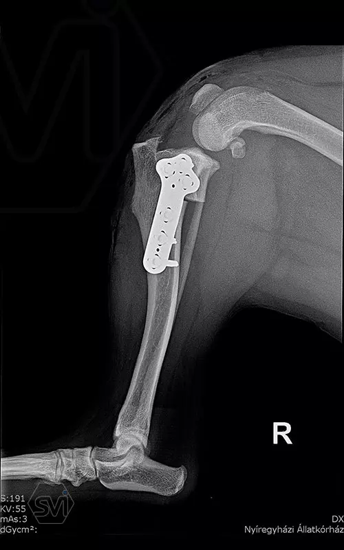
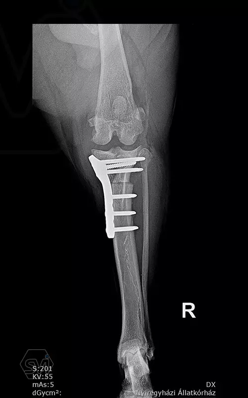
1,5 year old 13 kg mix dog underwent surgery today due to cranial cruciate ligament rupture and concomitant grade 3/4 medial patella luxation. During surgery, lateral tightening and medial loosening of the joint capsule (without opening the capsule) was performed. In the first phase of surgery, the 26-degree TPA was corrected simultaneously with the medial transposition of the proximal fragment. An R18 TPLO blade was used and the step and the rotation was fixed with a 2.7 precontured TPLO plate. The big curvature of the precontured plate provided an opportunity for placement without further conuring of the plate. The plate was temporarily fixed to the bone surface with two 1.2 K-nails using holes for temporary fixation. The distal piece was first stabilized with two locking screws. An AO 2,7mm srew was placed in the cranial hole of the proximal piece, which was able to create a significant tuberositas tibiae shift by tightening and simultaneously removing the temporaly, rotation stabilizing K-wire. Polyaxial locking screws are inserted into the remaining holes.
Thus, during surgery, we successfully applied a member of the precontured plate family designed for 2.7 mm screws for TPLO-M surgery.
TPLO-M surgery with so-called “terraced” plates in 2.0 and 2.4mm sizes have been described previously.TPLO-M 2.7 méretben
Másfél éves 13 kg tömegű keverék kutya került ma műtétre elülsőkereszteződő szalag szakadás és egyidejű grade 3/4 medialis patella ficam miatt. Műtét során patella árok mélyítést az ízületi tok lateralis szűkítését és medialis lazítását (tok megnyitása nélkül) végeztük el. A műtét első fázisában majd a 26 fokos TPA-t korrigáltuk egyidejűleg a proximalis fragment medialis transpositioójával. R 18-as pengét használtunk és a lépcsős elforgatást 2.7-s előrehajlított TPLO lemezzel rögzítettük. Az előhajlított lemez jelentős görbülete alkalmat adott a fém további görbítése nélküli felhelyezésre. A lemezt az időleges rögzítésre szánt furatok használatával két 1.2 K-szeggel időlegesen rögzítettünk a csont felszínén. A distalis darabot két szögstabil csavarral stabilizáltuk elsőnek. A proximalis darab cranialis furatába corticalis csavart helyeztünk, amely megfeszítésével és az elforgatást stabilizáló K-szeg egyidejű eltávolításával jelentős tuberositas tibiae eltolást tudtunk kialakítani. A maradék furatokba poliaxialis szögstabil csavarokat helyzetünk.
Műtét során tehát sikerrel alkalmaztuk az előrehajlítot lemezcsalád 2.7 mm-s csavarokra tervezett tagját TPLO-M műtétre. a TPLO-M műtét 2.0 és 2.4 úgynevezett „teraszos” lemezzel már korábban leírásra került.









