NEW! The polyaxial locking system in size 2.0 mm have arrived!
Now we have managed to go down in size in the family of polyaxial locking systems with one more size range! Now the new system provides the polyaxiality and the stability of locking systems for the treatment of fractures in cats!
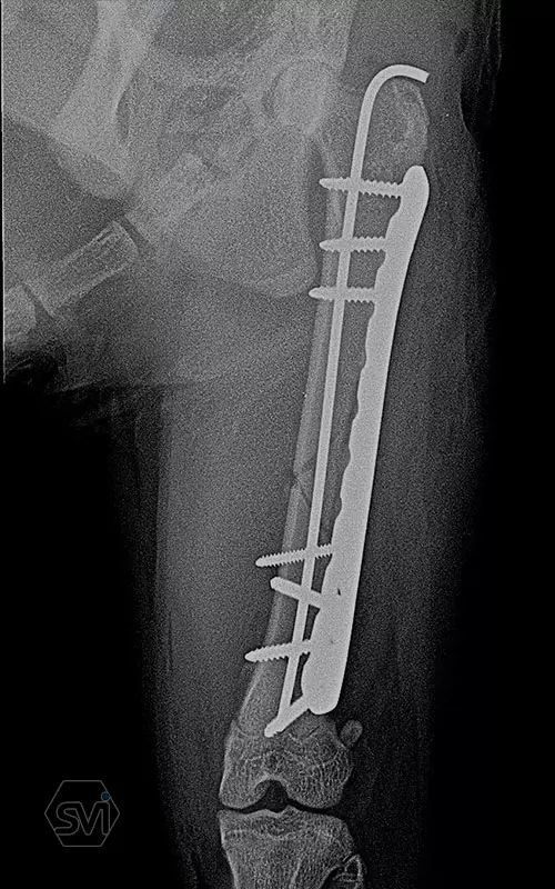
The plates are made in two types: the cutable ones, presented earlier, and the straight plates discussed here. The plates are made of 2 mm thin material and the hole is designed to accept the new 2.0 mm torx head threaded screws and the already used 2.4 mm torx head screws. As our case shows, the two screw sizes can be freely combined within one operation, according to the surgeon's needs. The screws require a T8 torx screwdriver. Of course, the plate can accept traditional AO screws as well.
This is how the two polyaxial angle stable systems, 2.7/3.5/4.0 large (with the same size hex head) and the 2.0/2.4 mini systems (with the same torx head) were formed.
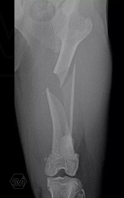
In our case, a middle third fragment fracture of a 10-month-old kitten was treated with a 2.0 polyaxial plate and a combination of 2.0 and 2.4 screws.
Further informations: Szabó Béla+36302508067, This email address is being protected from spambots. You need JavaScript enabled to view it.
Újdonság! Megérkeztek a poliaxiális lemezek és csavarok 2.0 mm méretben
Most még egy mérettartománnyal sikerült lejjebb mennünk a poliaxiális szögstabil rendszerek családjában! Most már macskák töréskezelésére is igénybe lehet venni a poliaxialitás és a szögstabilitás adta lehetőségeket!
A lemezek két féle típusban készülnek: a korábban bemutatott szabható kivizel, és az itt tárgyalt egyenes lemezek. A lemezek 2 mm-es anyagból készülnek, és a furat úgy lett tervezve, hogy be tudja fogadni az új 2,0 mm-es torx fejű menetelt csavarokat és a már használatos 2,4mm szintén torx fejű csavarokat. Igy, mint az esetünk is mutatja szabadon kombinálható a két csavarméret egy műtéten belül, a sebész igényeinek megfelelően. A csavarokhoz T8-as torx csavarhúzó szükséges. A lemez természetesen be tudja fogadni a hagyományos AO csavarokat is.
Igy kialakult a két poliaxiális szögstabil rendszer, 2,7/3,5/4,0 nagy (egyforma nagyságú hexa fejjel) és a 2,0/2,4 mini rendszerek (egyforma torx fejjel).
Esetünkben egy 10 hónapos cica középső harmadiszilánkos törését kezeltük 2,0 poliaxiális lemezzel és 2,0 és 2,4 csavarok kombinációjával.








