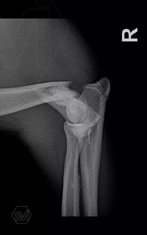
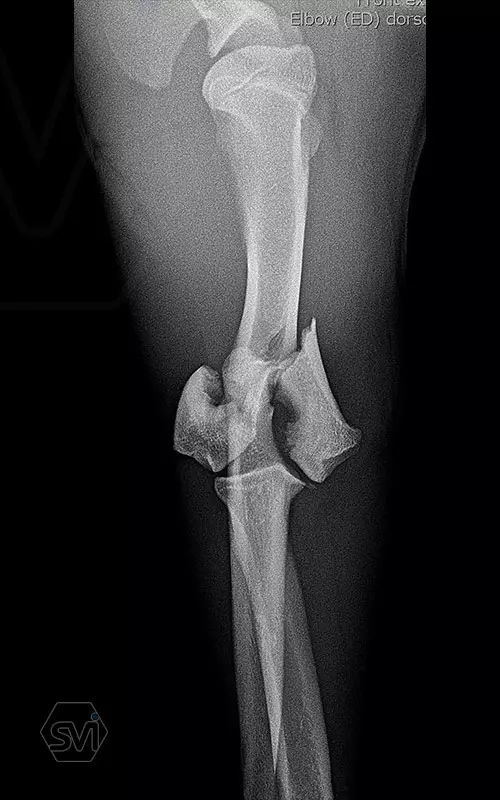
What used to be a nightmare type of surgery is slowly becoming my favorite: the humerus distal Y fracture
Yesterday, we operated on a Y fracture of the humerus of a 9-month-old French bulldog dog, where we used a cutable mini polyaxial straight plate (material thickness 2.0mm) and 2.4 polyaxial screws.
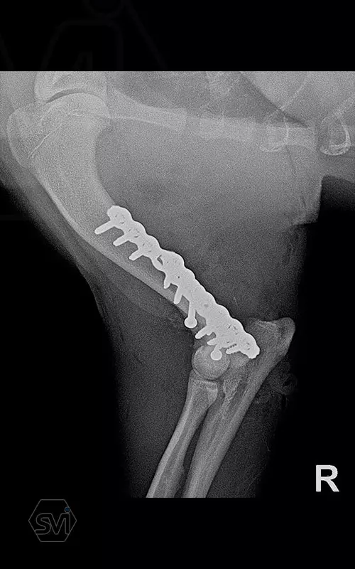
The fracture was favorable, the bone was not too fragmented, so we were able to plate the medial side easily, then turning the dog over, we replaced the lateral fragment as well and fixed it with a 2.4 intercondylar lag screw and with a shorter stright plate . It was very easy to work with the new plate, the surgery time was less than 2 hours. The stability is there, we placed a blind plug (screw head) in the lateral empty holes so that there is no weak point on the plate. The plate has mini polyax holes in which 2.4 and 2.0 polyax screws can be inserted (mini, 2.0-2.4 polyax system).
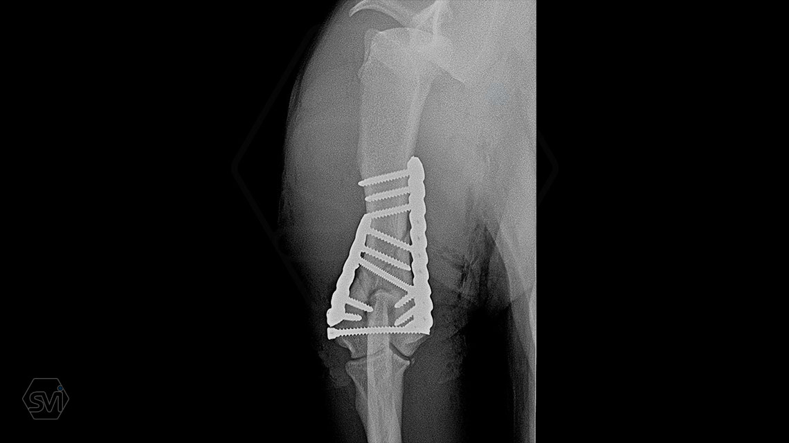
This plate arrangement and size is excellent for the treatment of the so common French bulldog humeral Y fractures.
Look around our webshop
More information:
Ami korábban rémálom műtét típus volt, lassan a kedvencemmé válik: a humerus distalis Y törés
9 hónapos, francia bulldog kutya humerus Y törését műtöttük a tegnapi nap folyamán, ahol szabható mini poliaxiális egyenes lemezt használtunk (anyagvastagság 2,0mm), és 2,4-es poliaxiális csavarokat.
A törés kedvező volt, nem volt töredezett a csont, így könnyen meg tudtuk lemezelni a medialis oldalt, majd átfordítva a kutyát a lateralis fragmentet is helyre illesztettük, és egy 2,4-es intercondylaris húzócsavarral, és a lateralis oldalt is egy rövidebb lemezzel rögzítettük. Nagyon könnyű volt dolgozni az új lemezzel, 2 óra alá ment a műtéti idő. A stabilitás megvan, a lateralis üres furatokba vakdugót helyeztünk (csavar feje), hogy ne legyen gyenge pont a lemezen. A lemezben mini poliax furatok vannak, amibe 2,4-es és 2,0 poliax csavarok is behelyezhetők, így van átjárás a két mérettartomány között. (mini, 2,0-2,4-es poliax rendszer)
Ez az elrendezés és méretű lemez kiválóan alkalmas az oly gyakori francia bulldog humerus Y töréseinek kezelésére.








