TPLO-M with one and a half year control
A modified version of TPLO is the TPLO-M surgery, which treats the cranial cruciate ligament rupure and the concomidant medial patellar luxation at the same time. The correction of the lesions are also invasive interventions on their own, so it is important that the surgery is simple, stable and offers a long-term solution: slowing down the development of arthrosis, in addition to good ossification and load-bearing capacity of the osteotomized pieces in toy dogs, avoiding bone resorption.
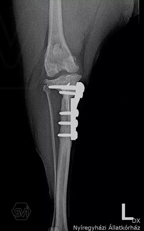
The attached x-rays were taken during the check-up of a 6.5-year-old Yorkshire terrier that underwent TPLO-M surgery a year and a half ago, the limb is fully loaded, it shows no lameness, the osteotomized parts are well ossified, the bone stock has not been resorbed.
You can read more about TPLO-M surgery here:
The TPLO-M surgery - description of the procedure for a 2.0 non-locking TPLO-M plate
The TPLO-M plates are available here:
More information:
TPLO-M másfél éves kontrollal
A TPLO módosított változata a TPLO-M műtét, amely az elülső kereszteződő szalagszakadást, és az egyidejűleg fennálló mediális patella-ficamot egyszerre gyógykezeli. Az elváltozások korrekciója önállóan is invazív beavatkozások, így fontos szempont, hogy az egyidejű megoldás egyszerű, stabil legyen és hosszú távon is megoldást jelentsen: arthrosis kialakulásának lassítása, továbbá a mini kutyáknál az oszteotomizált darabok jó csontosodása, és terhelhetősége, a csontfelszívódás elkerülése.
A mellékelt képek egy másfél évvel ezelőtt TPLO-M műtéten átesett, most 6,5 éves yorkshire terrier kontrollja során készült, a végtagot teljesen terheli, sántaságot nem mutat, az oszteotomizált részek jól csontosodtak, a csontállomány nem szívódott fel.
A TPLO-M műtétről itt lehet bővebben olvasni:
Egy friss TPLO-M műtét – a műtét menetének leírása 2.0 DCP furatos TPLO-M lemez esetén
A TPLO-M műtéthez az ún. teraszos TPLO lemezt használtuk, ami itt szerezhető be:






