NEW! Introducing the new cutable polyaxial locking plate for 2.0/2.4mm screws. (The small Universal Locking System, ULS)
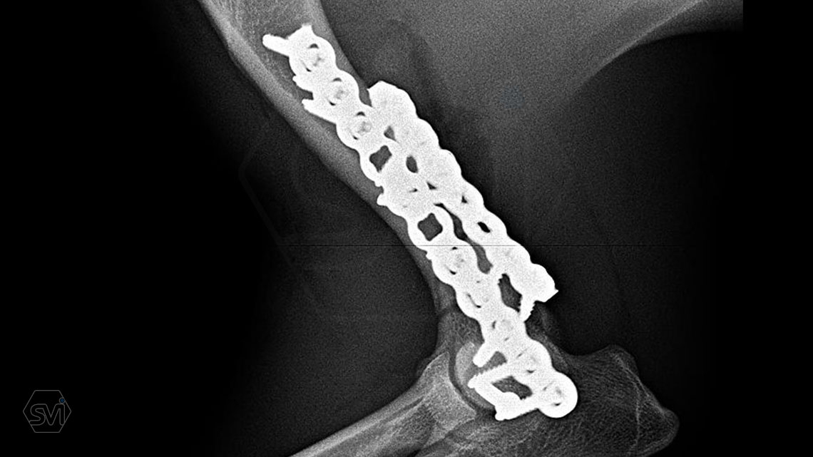
Our long-awaited request was fulfilled, that we could finally try the new cutable plate of the small polyaxial system. The plate is available as 25-hole straight and 30-hole plates with a T-plate ending on both ends (Mickey Mouse plate). It is easy to cut and bend, but still provides a stable fastening, so it is especially worth using in places where a high degree of bendability and polaxiality is required, see for example our case below. The advantage is also the disadvantage, because it is recommended on its own only for stable, non-fragmentary fractures, where the bending and rotational forces are small, or in combination with other fixation methods: double plating, K-nail+plate technique, etc.
It should be taken into account that it is made of a 2.0 mm thick plate in order to maintain the „locking” property, so it cannot be used for very small animals due to its thickness. Ideal for animals weighing 4-11 kg.
It works with 2.0 and 2.4 locking screws, but traditional cortical screws can also be inserted also.
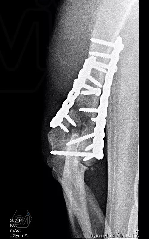
In our first case, we got right to the heart of it: we operated on a 2-year-old dachshund-type mixed dog weighing 9 kg, who overstretched his right humerus while stepping on pallets and suffered a Y-shaped humerus fracture that extended into the elbow joint combined with a large longitudinal splinter. To treat the fracture, we chose the new, cutable poliaxial locking plate, and immediately placed two, one medially and one caudolaterally. The intercondylar fracture and the longitudinal diaphysis fragment were each fixed with a 2.4 lag screw.
The ability to transition between sizes (2.0-2.4) was very useful. We positioned the plate with thinner (2.0 mm) cortical screws, the fragments were fitted to each other, and after the final state was established, we further stabilized the system with the locking screws placed in the empty holes, and then the thinner cortical screws were also replaced with thicker locking ones.
The plate behaved very well, it was much easier to work with than the straight plates used so far, it was easy to cut to size and shape it on the curved dachshund bone.
The advantage of polyaxiality proved to be particularly useful here, where it is very easy to drive the screw into the joint! There is no need to talk about the advantages of lockig systems around the elbows, where the pulling and stretching forces are magnified.
TIP: On the medial side, the very short screw above the fracture line was only used as a "blind plug" so that the hole would not remain without a screw, and the plate would not have a weak point above the fracture.More information:
Újdonság! Bemutatkozik a 2,0/2,4 mm-es csavarokhoz való szabható poliaxiális szögstabil lemez
Régóta várt igényünk teljesült, hogy végre kipróbálhattuk a kicsi poliaxiális rendszer szabható lemezét. A lemez 25 furatos és 30 furatos, mindkét végén T lemez végződéssel (Mickey Mouse lemez) formájában kapható. Könnyű vágni, és görbíteni, de mégis stabil rögzítést biztosít, ezért főleg olyan helyen érdemes használni, ahol a nagyfokú hajlíthatóság, és polaxialitás szükséges, lásd például esetünket alább. Az előnye a hátránya is, mert önállóan csak stabil, nem szilánkos töréseknél javasolt, ahol a hajlító és rotációs erők kicsik, vagy kombinálva más rögzítési módokkal: dupla lemezelés, K-szeg+lemez technika, stb.
Figyelembe kell venni, hogy a szögstabilitás megtartása miatt 2,0 mm vastag lemezből készül, ezért a vastagsága miatt a nagyon mini állatoknál nem használható. Ideális 4-11 kg-os állatok esetében.
2,0 és 2,4 szögstabil csavarokat is befogad, illetve a hagyományos corticalis csavarok is behelyezhetők.
Első komolyabb esetünkben rögtön bele is csaptunk a közepébe: 9 kg-os tacskó jellegű 2 éves keverék kutyát operáltunk, aki raklapok közzé lépve feszítette túl a jobb felkarcsontját, és egy nagy hosszanti szilánkkal kombinált könyök-ízületbe terjedő, Y-formájú humerus-törést szenvedett. A törés kezelésére az új, szabható kicsi szögstabil lemezt választottuk, rögtön kettőt helyeztünk fel, egyet mediálisan, és egyet caudolateralisan. Az intercondylaris fargmentet és a hosszanti diafizis szilánkot egy-egy 2,4-es húzócsavarral rögzítettük. Az átjárási lehetőség a méretek (2,0-2,4) között nagyon hasznos volt. vékonyabb (2,0mm) corticalis csavarokkal a lemezt pozícionáltuk, a fragmentek egymáshoz illesztettük, majd a végleges állapot kialakulása után az üres furatokba helyezett szögstabil csavarokkal tovább stabilizáltuk a rendszert, majd a vékonyabb corticalis csavarokat is vastagabb szögstabilokra cseréltük.
A lemez nagyon jól viselkedett, sokkal könnyebb volt vele dolgozni, mint az eddig használt egyenes lemezekkel, könnyű volt méretre vágni, ráformázni a görbe tacskó-csontra.
A poliaxialitás nyújtotta előny különösen hasznosnak bizonyult itt, ahol nagyon könnyű ízületbe vezetni a csavart! A szögstabiliás előnyeiről nem is kell beszélni a könyök környékén, ahol a húzó, feszítő erők hatványozottan jelentkeznek.
TIPP: A medialis oldalon a nagyon rövid csavart a törési vonal felett csak „vakdugónak” használtuk, hogy az a furat ne maradjon csavar nélkül, a lemezben ne legyen egy gyenge pont a törés felett.







