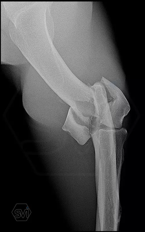
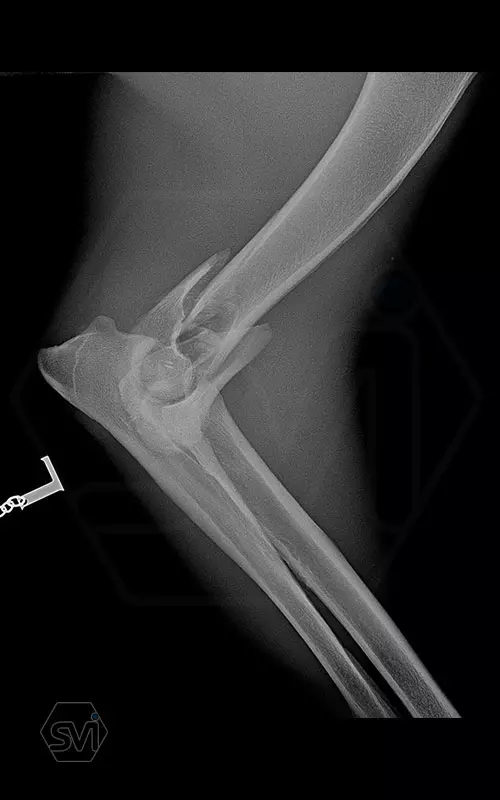
Nightmare for all of us: diastal humeral Y-fracture in a large active dog (German Shepherd)
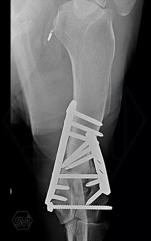
The damaged area was exposed laterally and medially, and 2 locking plate were used: a large polyiaxial straight plate made with 3.5 mm screws, and a small polyaxial plate laterally with 2.7 mm screws.
The intercondylar fragments were fixed with 3.5mm lag screw with a washer under the head.
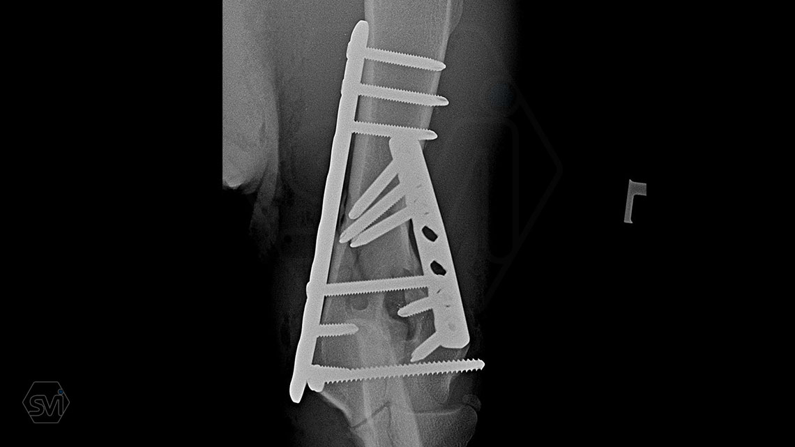
The dog was already using his leg very nicely at control 1 month post op., barely limping. In such a case, the advantages of locking systems (distal short screws are also permanently fastened) and polyaxiality (positioning the screws of the opposing plates so that they do not interfere with each other, and avoiding the screw insertion into the joint or fracture line) are really very helpfull.
Mindnyájunk rémálma: Humerus distalis Y-törés nagytesű aktív (német juhász) kutya esetében
Az eset megoldása során a sérült területet lateralis és medialis oldalról is feltártuk, és egy-egy lemezt helyzetünk fel: medialisan egy 3,5 mm csavarokkal készített nagy poliaxiális egyenes lemezt, míg lateralisan egy 2,7mm csavarokkal egy kis poliaxiális szögstabil lemezt.
Az intercondylaris törés rögzítését egy 3,5mm-es húzócsavarral és a fej alatt egy alátéttel végeztük.
A kutya az 1 hónapos kontrollon már nagyon szépen használta a lábát, alig sántított. Egy ilyen eset során jönnek elő igazán a szögstabilitás (distalis rövid csavarok is tartósan jól rögzítenek) illetve a poliaxialitás előnyei (az egymással szemben álló lemezek csavarjainak elhelyezése úgy, hogy ne zavarják egymást, továbbá a törésvonal, illetve az ízületbe való csavarhelyezés elkerülése).










